初診相談を無料で実施
どの医院で治療したらいいか迷っている方、
まずはご相談ください。
幅広い症例に適応する
『総合的な矯正治療』をご提案します。



西千葉歯科矯正歯科の「矯正治療」は
このようなお悩みにお応えします!

どの医院で治療したらいいか迷っている方、
まずはご相談ください。

あなたの歯並びに合わせて
総合的な矯正治療をご提案します。







多くの患者さまの治療を手がけてきた確かな技術力で、
安全・安心な治療をお約束します。

他院で治らなかった場合の
セカンドオピニオンにも対応しています。

マウスピース矯正(インビザラインを用いた矯正)において一定レベル以上の症例数を満たした歯科医師のみに与えられるステータスです。
当院は、そのなかでも上位にあたる『ブラックダイヤモンドプロバイダー』を受賞しました。
適切かつ快適なマウスピース矯正をご提供できるよう努めています。

虫歯、歯周病、インプラントなど
全般的な治療・処置を行なっています。

矯正治療中のトラブルにすぐに対応できるので、
安心して治療を受けられます。

矯正治療中のトラブルにすぐに対応できるので、
安心して治療を受けられます。

女性医師が在籍しているため、
女性の患者さまでも相談しやすい環境です。

スマホアプリで治療経過を遠隔管理できるため、
通院回数を減らせます。
当院の矯正治療を予約される方は、お電話またはWEBからお気軽にご予約ください。
カウンセリング・資料採得

セファロ(※)を使って、歯並びだけではなくお顔の骨格全体のバランスを細かく考え、適切な治療計画をご提案します。※『セファログラム』のことで、『頭部X線規格写真』を指します。


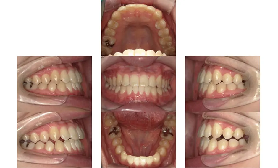
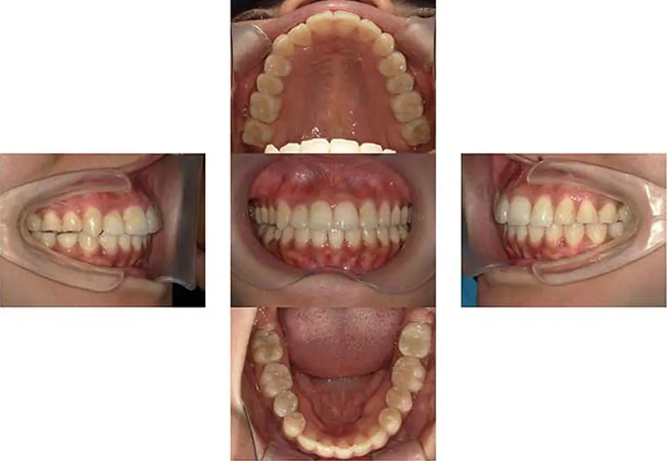
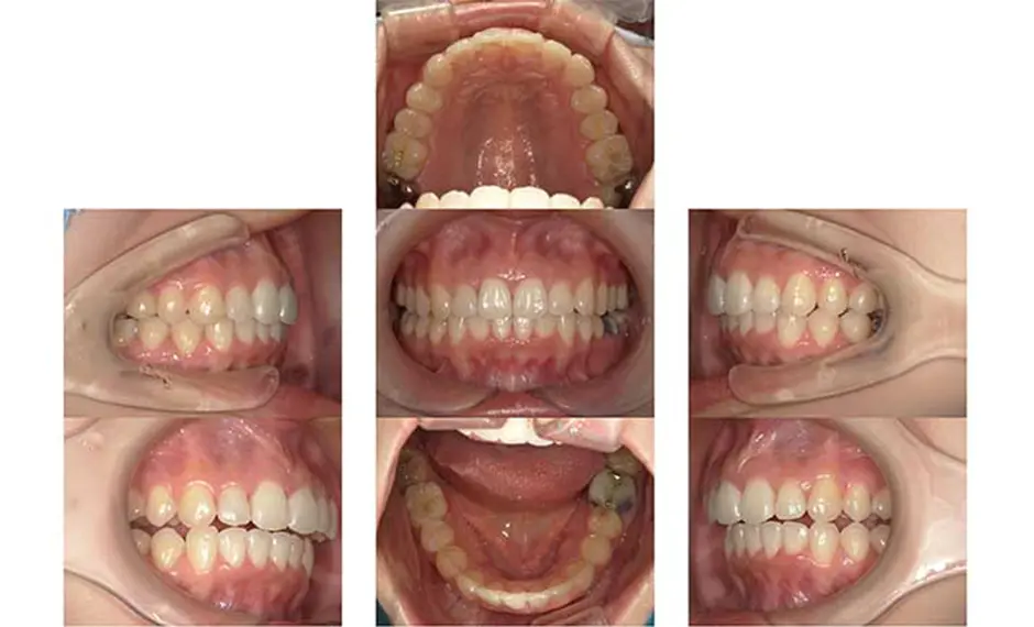
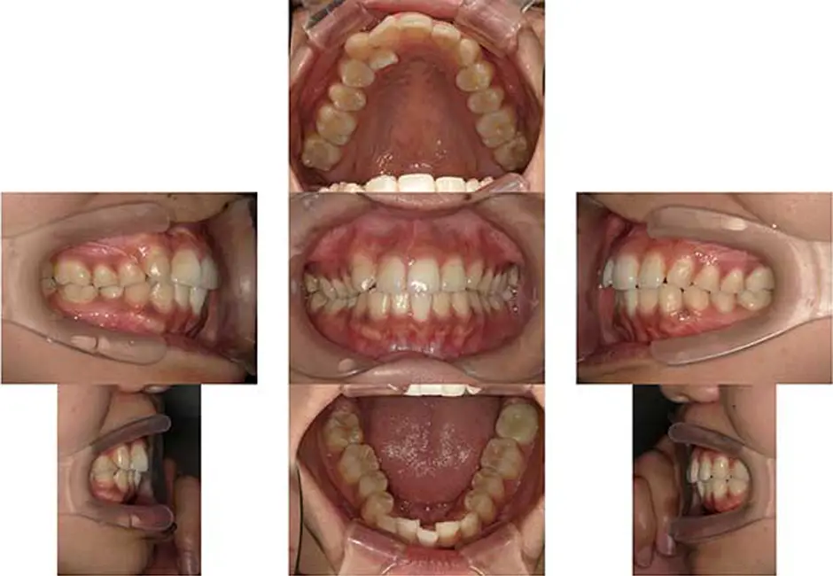
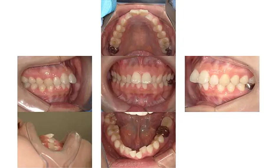
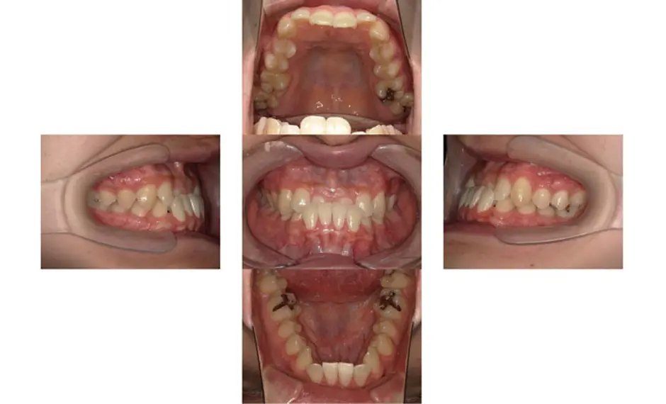
当院で矯正治療を受けられた方の治療前後の変化を、お写真でご確認いただけます。
当院でご提供している主な矯正治療の料金のご案内です。料金は税込で記載しています。
| 項目 | 全顎矯正 | 部分矯正 |
|---|---|---|
| 初診相談 | 無料 | 無料 |
| 検査・診断 | ¥33,000 | ¥33,000 |
| 装置 | メタルブラケット ¥550,000 クリアブラケット ¥660,000 プレミアムブラケット ¥770,000 |
¥220,000〜 |
| 調整 | ¥5,500/月 | ¥5,500/月 |
| リテーナー(保定装置) | ¥55,000 | ¥27,500〜 |
| 項目 | 診療内容等 | 費用(税込) |
|---|---|---|
| 初診相談 | 初診相談 | 無料 |
| 検査・診断 | コンピュータシミュレーションによる精密検査 | ¥55,000 |
| ハーフ | 上顎または下顎の部分矯正 | ¥440,000 |
| ライト | 軽度なでこぼこの治療 | ¥550,000 |
| スタンダード | 全体的な歯並びの治療 (抜歯症例は『アドバンス』) マウスピースの作製は3回まで無料 |
¥770,000 |
| アドバンス | マウスピースのみでの治療が不可能な難症例の場合、 部分的にワイヤーを併用 |
¥990,000 |
| 調整 | 装置の調整等のために来院時に発生する費用 | ¥5,500/回 |
| リテーナー(保定装置) | 矯正治療後、歯並びを安定させるための装置 | ¥33,000 |
| 項目 | 費用(税込) |
|---|---|
| 初診相談 | 無料 |
| 検査・診断 | ¥33,000 |
| 装置 | トライアル ¥55,000 シンプル ¥165,000 スタンダード ¥275,000 アドバンス ¥385,000 |
| 調整 | ¥5,500/月 |
| リテーナー(保定装置) | ¥33,000 |
| 項目 | 診療内容等 | 費用(税込) |
|---|---|---|
| 抜歯 | 矯正目的の抜歯は自費診療(保険適用外) | ¥5,500/本 |
| 補助装置 | 歯の移動を補助する矯正用インプラントなど | ¥22,000/個 |
| ホワイトワイヤー | 白いワイヤーに変更する際の追加費用 | ¥110,000 |
| クリーニング | 矯正治療中のクリーニング自費診療(保険適用外) | ¥5,500/30分 |
■ワイヤー矯正の一般的な治療期間・回数
【全顎】治療期間:2~3年、治療回数:24~36回
【部分】治療期間:6ヵ月~1年6ヵ月、治療回数:6~12回
■マウスピース矯正の一般的な治療期間・回数
【全顎】治療期間:2~3年、治療回数:24~36回
【部分】治療期間:6ヵ月~1年6ヵ月、治療回数:6~12回
■小児矯正の一般的な治療期間・回数
【1期治療】治療期間:1~2年、治療回数:12~24回
【2期治療】1~3年、治療回数:12~36回
※治療期間・回数は症状や治療の進行状況などにより変化します。あくまで参考程度にお考えいただき、詳細は歯科医師にご確認ください。
治療費のお支払いには下記をご利用いただけますので、ご都合に合わせてお選びください。
本人および生計を同じにする配偶者、その他親族のために1年間(毎年1月1日から12月31日まで)に
10万円以上の医療費を支払った場合、一定の金額の所得控除を受けられる制度です。
矯正治療も医療費控除の対象となります。
医療費控除についての詳細は、国税庁のホームページをご確認ください。
デンタルローンのお支払い例のご案内です。負担を抑えて安心して治療を受けられます。

矯正治療の費用に含まれるものは『矯正装置の材料・作製料』と『歯科医師の技術料』となり、その多くを後者が占めています。
当院では、「歯並びの美しさを実感してほしい」「矯正治療をあきらめてほしくない」との思いから『歯科医師の技術料』を削減しています。
費用面の負担を軽減することで、より多くの方に矯正治療をご提供し、今以上にすてきなスマイルで生活していただけるよう願っています。
当院の矯正治療を予約される方は、お電話またはWEBからお気軽にご予約ください。











